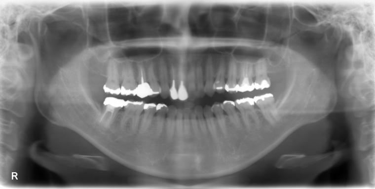
上顎前歯欠損症例
インプラント治療2回法・1回法



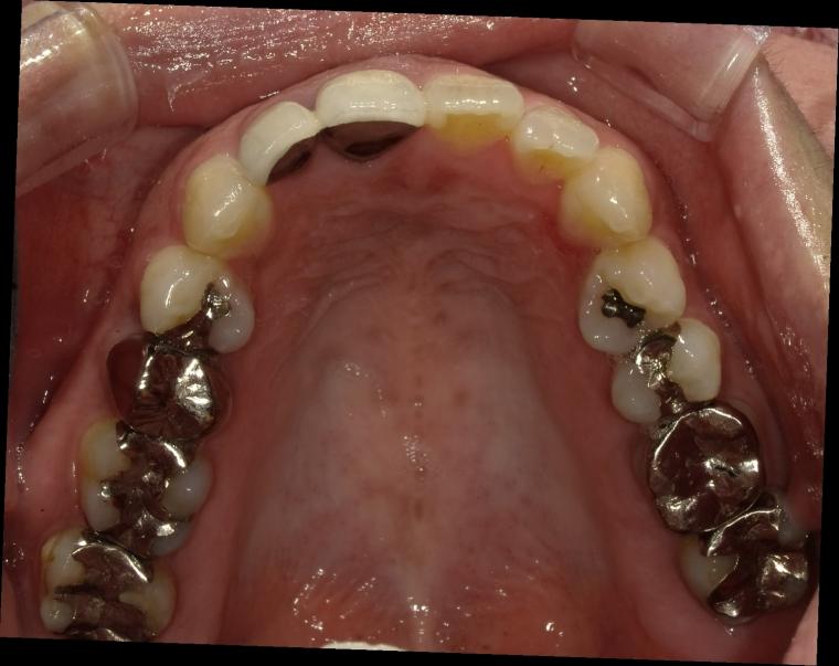
BEFORE



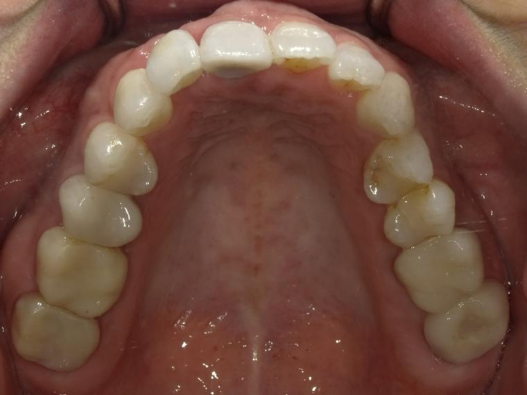
AFTER
53歳女性/上1本欠損/インプラント埋込手術
【治療内容】
前歯の詰め物が割れたかもしれないの主訴でご来院された方です。
保存状態が厳しかった為、上顎側切歯の抜歯となりました。
抜歯後に土台となる骨を作る処置の後、インプラントを1本埋入しました。
現在も定期健診で拝見しております。
【費用】
75万円
【治療期間】
10ヶ月
【治療におけるリスク・副作用】
インプラント治療は手術を伴います。腫れや痛みが少なくなるよう努力をしておりますが、多少の腫れや痛みが出ます。しかし、痛み止めで抑えられる程度ですのでご安心ください。

















