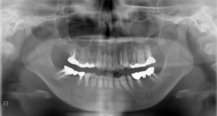
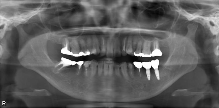
下顎大臼歯2本欠損
インプラント治療2回法・1回法



BEFORE



AFTER
36歳女性/下2本欠損/インプラント埋込手術
【治療内容】
左下のブリッジが割れそうでご来院の患者さんです。
保存状態が厳しかった為、第一大臼歯と第二大臼歯が抜歯となりました。
第一大臼歯と第二大臼歯をインプラント、第二小臼歯をクラウンでの治療を希望されました。
現在も定期健診で拝見させていただいています。
【費用】
100万円
【治療期間】
9ヶ月
【治療におけるリスク・副作用】
インプラント治療は手術を伴います。腫れや痛みが少なくなるよう努力をしておりますが、多少の腫れや痛みが出ます。しかし、痛み止めで抑えられる程度ですのでご安心ください。

















