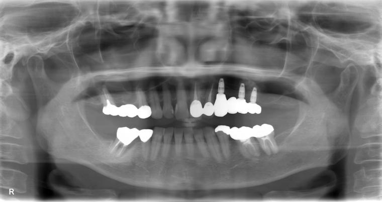
上顎左側前歯部と臼歯部欠損症例
インプラント治療2回法・1回法



BEFORE



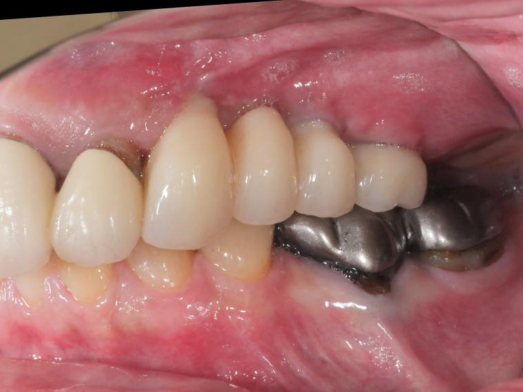
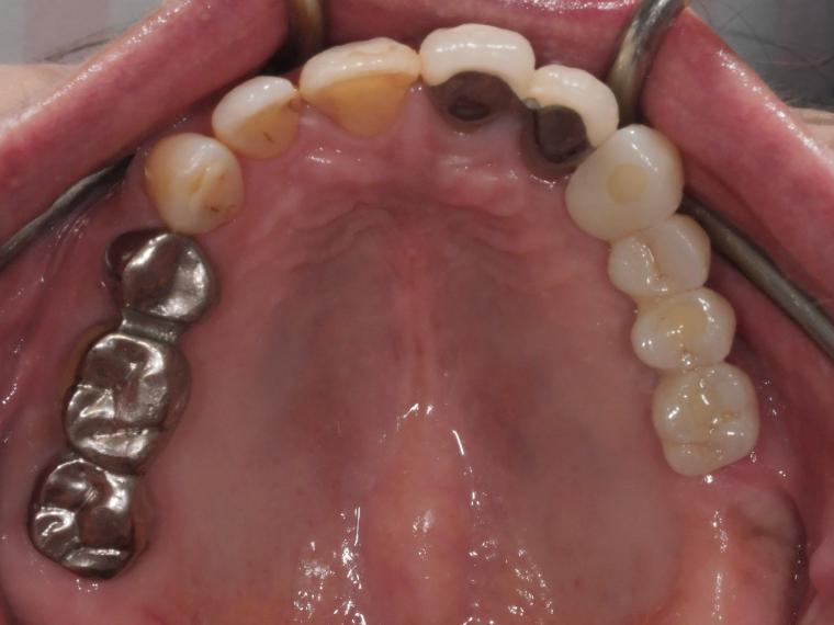
AFTER
65歳女性/上3本欠損/インプラント埋込手術
【治療内容】
被せ物が取れて来院された患者さんです。
上顎犬歯の保存が厳しい状態だった為抜歯となりました。
ご来院時から欠損状態だった左上第一小臼歯から第一大臼歯も含め、欠損補綴についてお話させていただき、
インプラントでの治療を選択されました。
現在も定期検診で拝見させていただいています。
【費用】
160万円
【治療期間】
10ヶ月
【治療におけるリスク・副作用】
インプラント治療は手術を伴います。腫れや痛みが少なくなるよう努力をしておりますが、多少の腫れや痛みが出ます。しかし、痛み止めで抑えられる程度ですのでご安心ください。

















