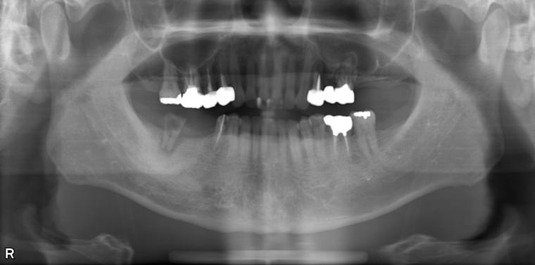
上顎臼歯部欠損症例
インプラント治療2回法・1回法



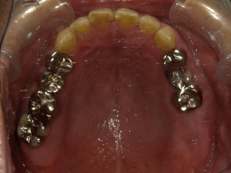
BEFORE



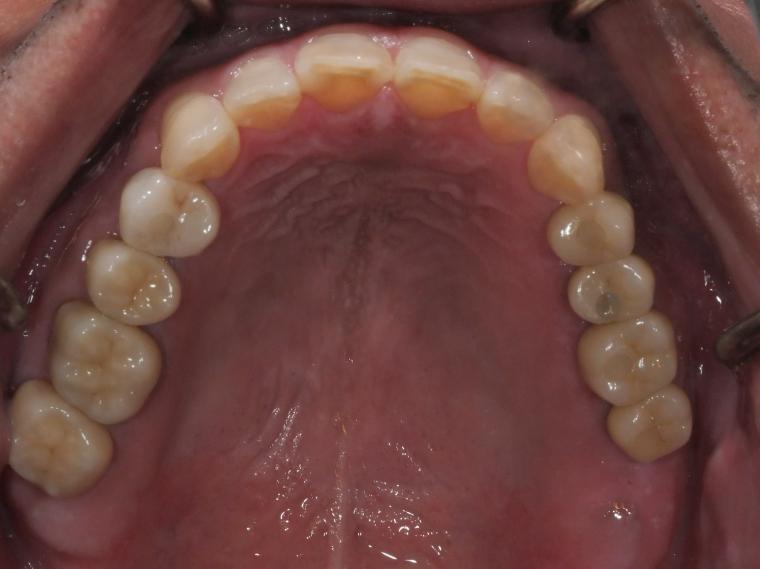
AFTER
41歳男性/上5本欠損/インプラント埋込手術
【治療内容】
上5本が虫歯になってしまった為治療をすることになった患者さんです。
虫歯が進行していて、歯を保存出来なかったため歯を抜いて人工の骨を足してからインプラントを
5本埋込した患者さんです。
現在も定期検診で拝見させていただいてます。
【費用】
320万円
【治療期間】
10ヶ月
【治療におけるリスク・副作用】
インプラント治療は手術を伴います。腫れや痛みが少なくなるよう努力をしておりますが、多少の腫れや痛みが出ます。しかし、痛み止めで抑えられる程度ですのでご安心ください。

















