上下臼歯2本欠損症例
インプラント治療2回法・1回法



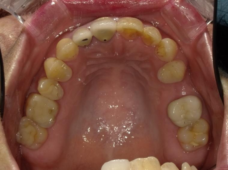
BEFORE



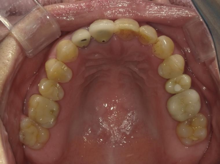
AFTER
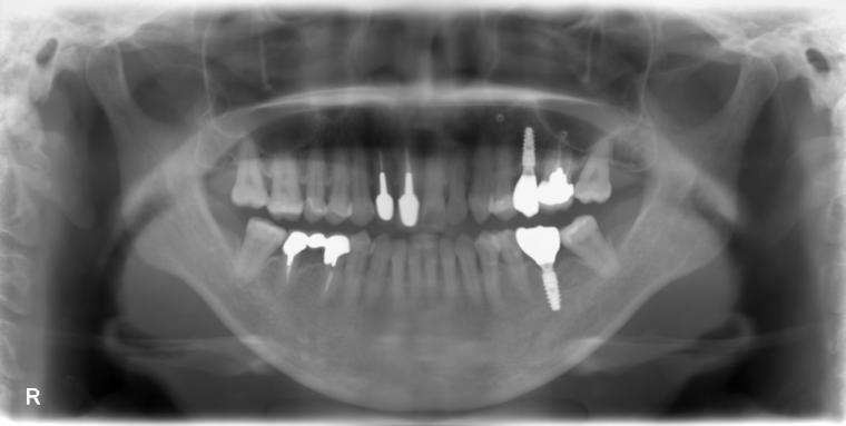
58歳女性/上下2本欠損/インプラント埋込手術
【治療内容】
左上第二小臼歯が欠損状態で、インプラントのご相談でご来院された患者さんです。
左下第一大臼歯も、根っこの先で炎症が広がっており、抜歯後に左上と一緒にインプラントを埋入しました。
現在も定期検診で拝見させていただいています。
【費用】
110万円
【治療期間】
10ヶ月
【治療におけるリスク・副作用】
インプラント治療は手術を伴います。腫れや痛みが少なくなるよう努力をしておりますが、多少の腫れや痛みが出ます。しかし、痛み止めで抑えられる程度ですのでご安心ください。

















