下顎大臼歯1本欠損症例
インプラント治療2回法・1回法



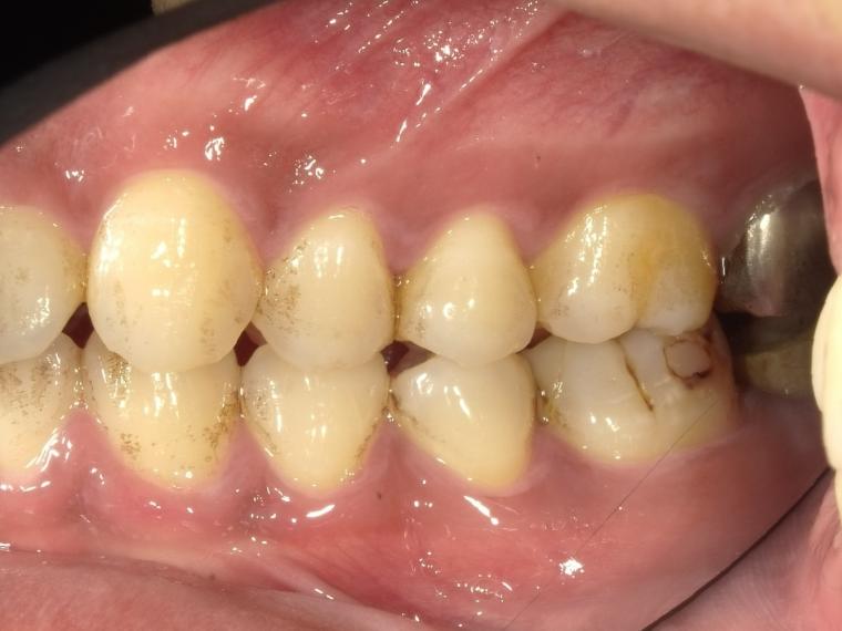
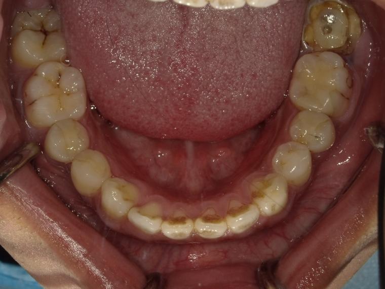
BEFORE



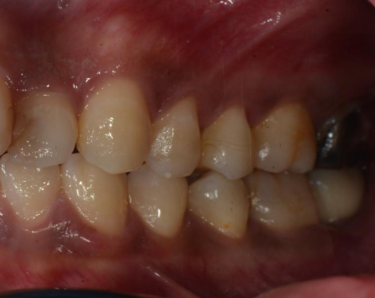
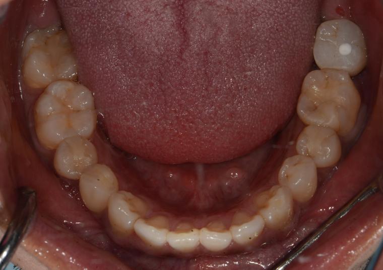
AFTER
31歳男性/下1本欠損/インプラント埋込手術
【治療内容】
左下第二大臼歯が、残根の状態でご来院された患者さんです。
抜歯後に土台となる骨をつくる処置の後、インプラントを埋入しました。
現在も定期検診で拝見させていただいています。
【費用】
55万円
【治療期間】
9ヶ月
【治療におけるリスク・副作用】
インプラント治療は手術を伴います。腫れや痛みが少なくなるよう努力をしておりますが、多少の腫れや痛みが出ます。しかし、痛み止めで抑えられる程度ですのでご安心ください。

















