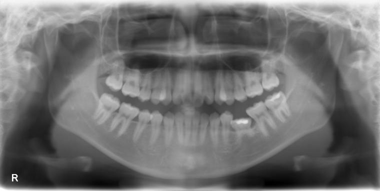
下顎小臼歯一本欠損症例(先天性欠損)
インプラント治療2回法・1回法



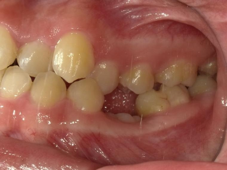
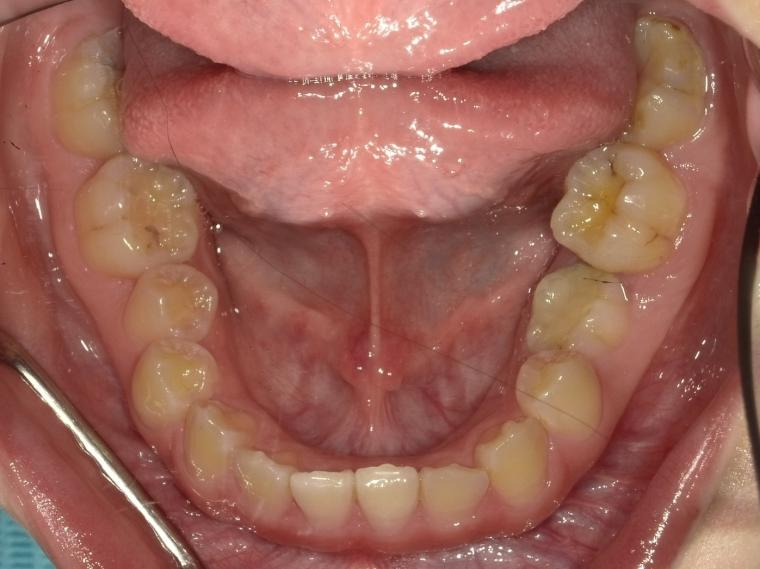
BEFORE



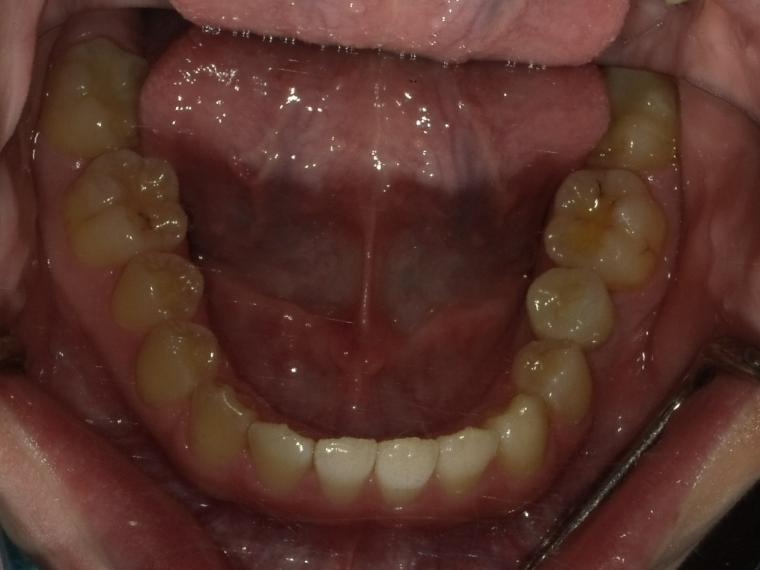
AFTER
19歳女性/下1本欠損/インプラント埋込手術
【治療内容】
下顎第二小臼歯が先天性の欠損の患者さんです。
乳歯が生えていましたが、状態が悪くなり抜歯となりました。
他の歯の健康を考えマウスピース矯正で歯列を整えてからインプラントを1本埋込しました。
現在も定期検診で拝見させていただいてます。
【費用】
110万円
【治療期間】
16ヶ月
【治療におけるリスク・副作用】
インプラント治療は手術を伴います。腫れや痛みが少なくなるよう努力をしておりますが、多少の腫れや痛みが出ます。しかし、痛み止めで抑えられる程度ですのでご安心ください。

















