下顎大臼歯1本欠損症例
インプラント治療2回法・1回法



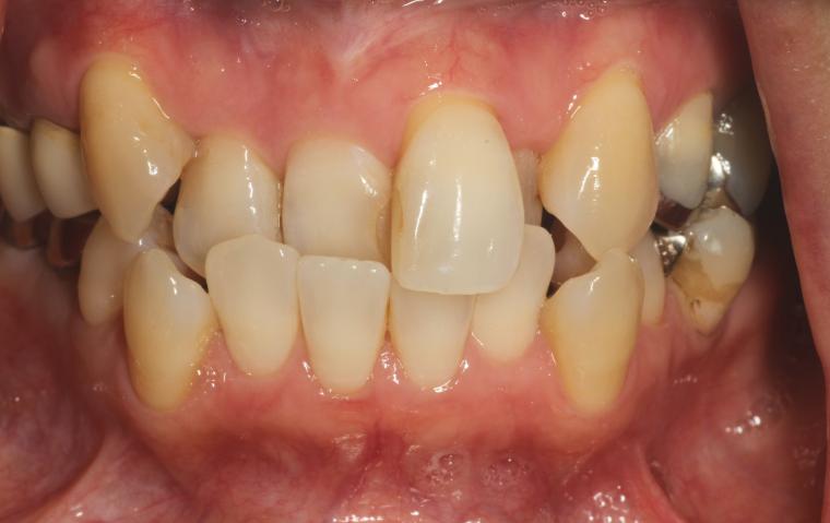
BEFORE



AFTER
49歳女性/下1本欠損/インプラント埋込手術
【治療内容】
右下奥歯のお痛みが主訴でご来院の患者さんです。
右下第一大臼歯は、根っこの再治療をしました。
右下第二大臼歯は欠損していたため、マウスピース矯正で歯列を整えてから、インプラントを1本埋入しました。
現在も定期健診で拝見させていただいています。
【費用】
65万円
【治療期間】
10ヶ月
【治療におけるリスク・副作用】
インプラント治療は手術を伴います。腫れや痛みが少なくなるよう努力をしておりますが、多少の腫れや痛みが出ます。しかし、痛み止めで抑えられる程度ですのでご安心ください。

















